Skip to content
Our Team
Dental Services
General Dental Care
Cosmetic Dentistry
Dental Crowns
Dental Implants
Dental Veneers
Emergency Dentist
Family & Children’s Dentistry
Teeth Whitening
Wisdom Teeth Removal
Gallery
FAQS
Sydney Dental News
Contact
Our Team
Dental Services
General Dental Care
Cosmetic Dentistry
Dental Crowns
Dental Implants
Dental Veneers
Emergency Dentist
Family & Children’s Dentistry
Teeth Whitening
Wisdom Teeth Removal
Gallery
FAQS
Sydney Dental News
Contact
Book Now
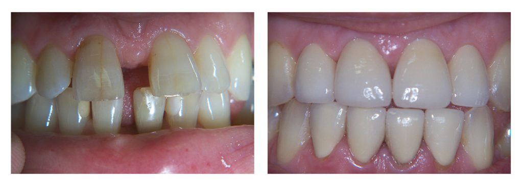
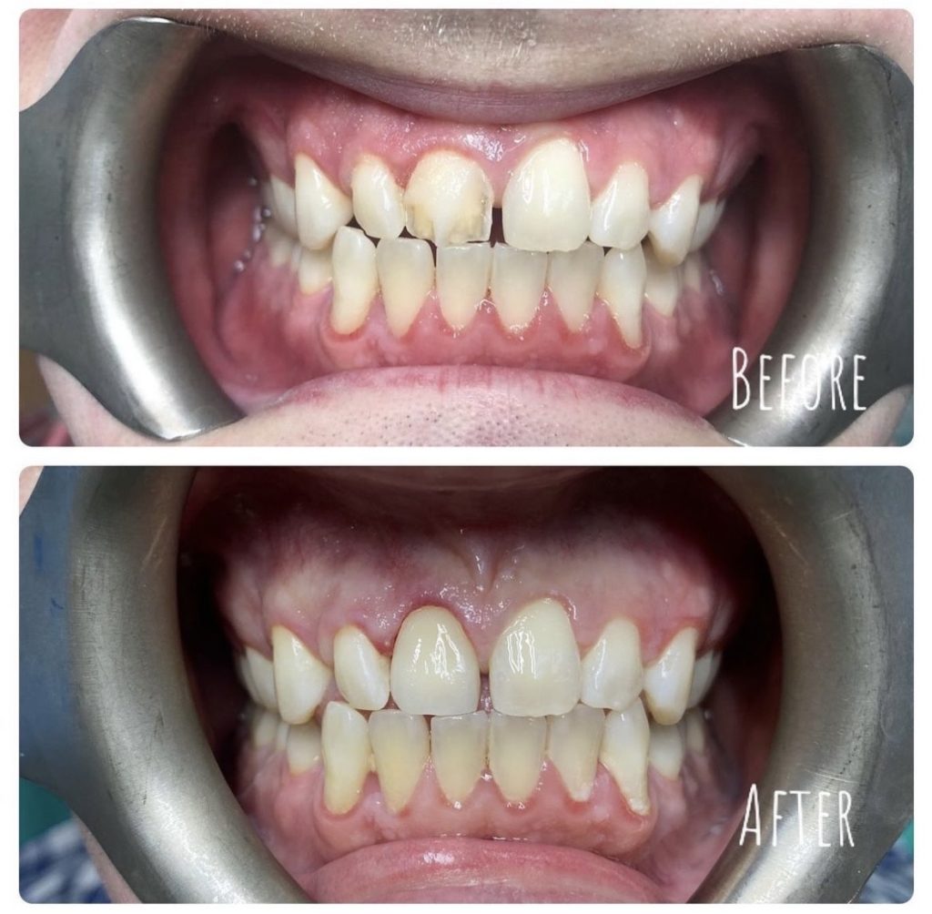
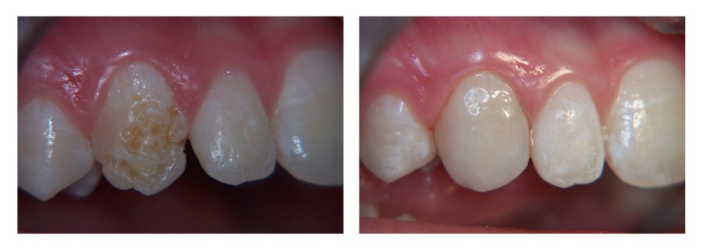
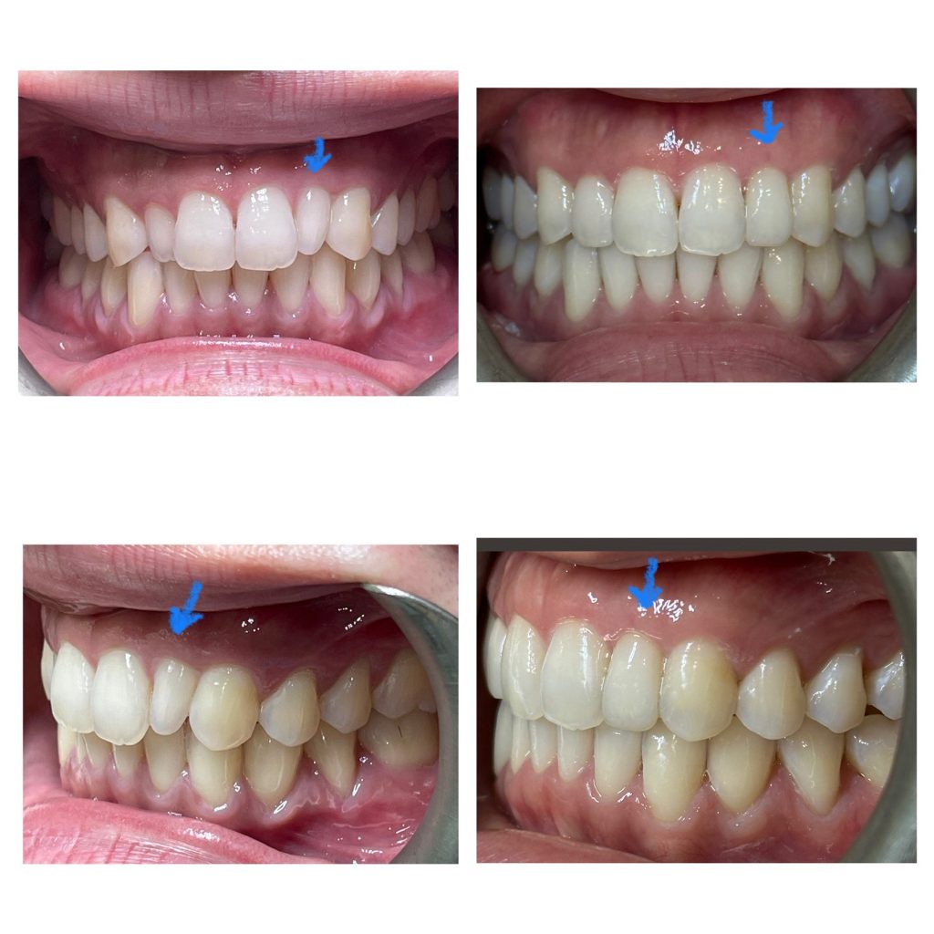
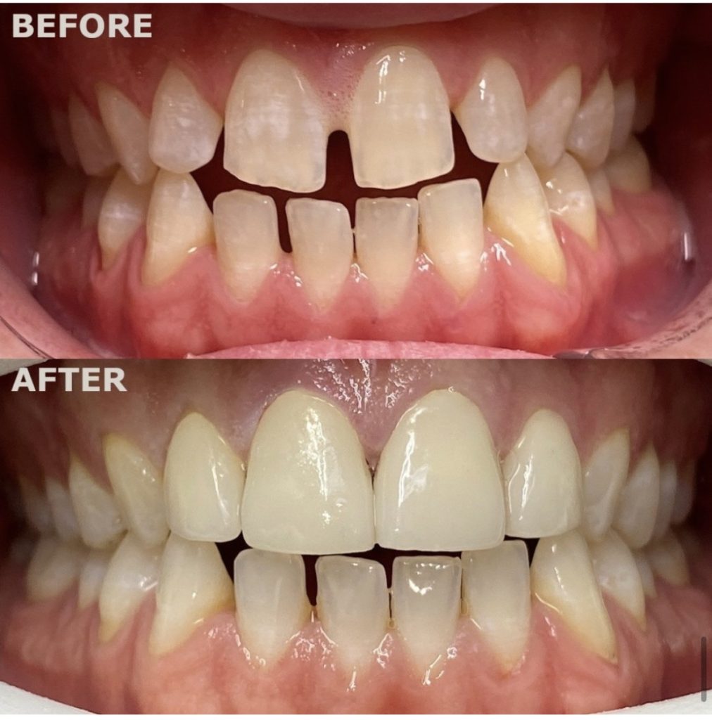
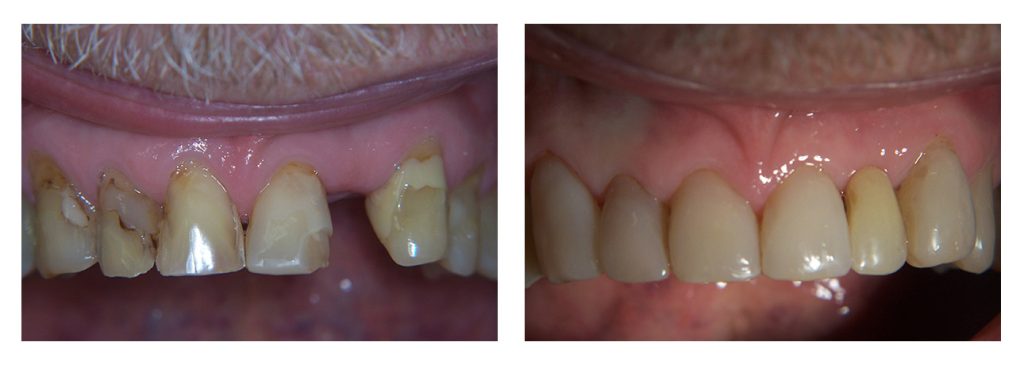
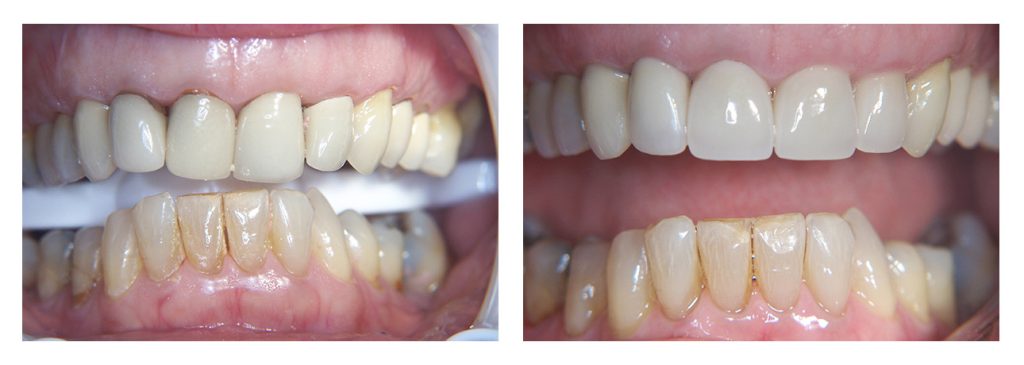
Veneers
Porcelain & Composite
Porcelain
Composite
Back